Unsere Leistungen (auch) für externe Patient:innen
Ultraschall
Der Ultraschall (die Sonographie) ist ein etabliertes, nicht-invasives Bildgebungsverfahren zur Beurteilung innerer Organe. Er ist schmerzfrei, ohne Strahlenbelastung und eignet sich sowohl zur Abklärung von Beschwerden als auch zur Verlaufs- und Vorsorgeuntersuchung.
Schilddrüsen-Ultraschall
Die Sonographie der Schilddrüse ermöglicht eine detaillierte Darstellung von Größe, Struktur und Durchblutung des Organs. Sie ist besonders geeignet zur:
- Abklärung von Knoten oder Vergrößerungen
- Beurteilung bei Schilddrüsenfunktionsstörungen
- Verlaufskontrolle bekannter Befunde
Auffällige Veränderungen können frühzeitig erkannt und – falls erforderlich – weiter abgeklärt werden.
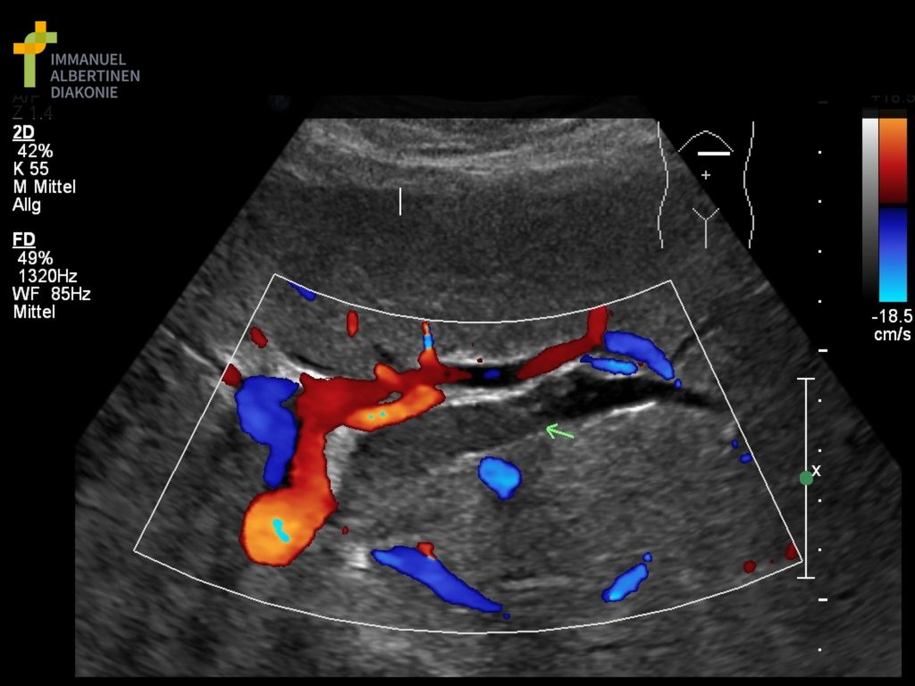
Bauch-Ultraschall (Abdomen-Sonographie)
Der Ultraschall des Bauchraums dient der Untersuchung von Leber, Gallenblase, Bauchspeicheldrüse, Milz, Nieren und ableitenden Harnwegen. Er wird häufig eingesetzt bei:
- unklaren Bauchschmerzen
- auffälligen Laborwerten
- Verdacht auf Gallensteine, Organvergrößerungen oder Flüssigkeitsansammlungen
- Zur Vorsorge
Die Abdomensonographie liefert rasch verwertbare Befunde und ist ein zentrales Instrument der internistischen Basisdiagnostik.
Atemschutz-Untersuchung Feuerwehr (G26.3)
Wer bei der (freiwilligen) Feuerwehr arbeitet, muss in bestimmten Abständen ärztliche Untersuchungen durchführen lassen. Diese Untersuchungen dienen dem Schutz der Einsatzkräfte und der Beurteilung, ob die gesundheitlichen Voraussetzungen für Tätigkeiten unter Atemschutz weiterhin erfüllt sind.
Die Untersuchung nach G 26.3 umfasst unter anderem:
- eine ausführliche Anamnese (Vorerkrankungen, Belastbarkeit, Medikamente)
- eine körperliche Untersuchung mit Schwerpunkt Herz-Kreislauf- und Atemsystem
- eine Lungenfunktionsprüfung (Spirometrie)
- ein Ruhe-EKG
- ggf. ein Belastungs-EKG (Ergometrie)
- je nach Alter, Befund und Einsatzprofil ggf. weitere ergänzende Untersuchungen
Ziel ist es, sicherzustellen, dass die körperlich und psychisch hochbelastenden Einsätze – insbesondere unter schwerem Atemschutz – ohne unvertretbares Gesundheitsrisiko durchgeführt werden können.
Wir verfügen über alle notwendigen Untersuchungsverfahren und über die notwendigen Abläufe, um diese Untersuchung durchzuführen
Sport-Tauglichkeit
Vor Aufnahme oder Wiederaufnahme sportlicher Aktivitäten – insbesondere bei Wettkampf-, Ausdauer- oder intensivem Freizeitsport – kann eine sportmedizinische Untersuchung sinnvoll sein. Ziel ist es, bislang unerkannte Risiken frühzeitig zu erkennen und eine sichere Trainingsbelastung festzulegen.
Die Sporttauglichkeitsuntersuchung umfasst je nach Fragestellung unter anderem:
- eine sportbezogene Anamnese (Trainingsumfang, Vorerkrankungen, Beschwerden, Medikamente)
- eine körperliche Untersuchung mit kardiopulmonalem Schwerpunkt
- ein Ruhe-EKG
- ein Belastungs-EKG (Ergometrie) zur Beurteilung von Herz-Kreislauf-Reaktionen unter körperlicher Belastung
- bei Bedarf ergänzende Untersuchungen (z. B. Lungenfunktion)
Auf dieser Basis kann eine individuelle Einschätzung der Sporttauglichkeit sowie – falls gewünscht – eine Empfehlung zur Trainingsintensität erfolgen.
Tauch-Tauglichkeit
Beim Gerätetauchen wirken besondere physikalische Belastungen auf Lunge, Herz-Kreislauf-System und Ohren. Daher wird vor Beginn sowie in regelmäßigen Abständen eine ärztliche Tauchtauglichkeitsuntersuchung empfohlen.
Die Tauchtauglichkeitsuntersuchung beinhaltet in der Regel:
- eine spezifische Anamnese mit Fokus auf Atemwege, Herz-Kreislauf-System und HNO-Probleme
- eine körperliche Untersuchung
- eine Lungenfunktionsprüfung
- ein Ruhe-EKG
- abhängig von Alter, Vorerkrankungen und Tauchprofil ggf. ein Belastungs-EKG
Ziel ist die Beurteilung, ob aus medizinischer Sicht sicheres Tauchen ohne erhöhtes Risiko möglich ist.
Führerschein-Untersuchungen
Für den Erwerb oder die Verlängerung von LKW-Fahrerlaubnissen (z. B. Klassen C, CE) sind in gesetzlich festgelegten Abständen ärztliche Untersuchungen erforderlich. Diese dienen der Verkehrssicherheit und der Beurteilung, ob die gesundheitlichen Voraussetzungen für das sichere Führen schwerer Kraftfahrzeuge vorliegen.
Im Rahmen der ärztlichen Untersuchung für LKW-Führerscheine werden unter anderem beurteilt:
- der allgemeine Gesundheitszustand
- das Herz-Kreislauf-System
- die Belastbarkeit und Reaktionsfähigkeit
- relevante Vorerkrankungen und Medikamenteneinnahmen
Je nach Fragestellung können ergänzende Untersuchungen sinnvoll sein, etwa ein Ruhe-EKG oder weitere apparative Diagnostik.
Hinweis:
Eine verkehrsmedizinische Begutachtung als Sachverständiger (z. B. bei besonderen Fragestellungen oder behördlichen Anordnungen) wird nach Abschluss der entsprechenden Zusatzqualifikation angeboten. Die entsprechende Weiterbildung ist für Herbst 2026 geplant.
Cardisiographie (Vektor-EKG)
Cardisiographie (Vektor-EKG)
Die Cardisiographie (CSG) ist ein erweitertes, nicht-invasives Verfahren zur funktionsorientierten Beurteilung des Herzens. Sie ergänzt das konventionelle EKG, indem sie die elektrischen Herzaktivitäten dreidimensional analysiert und zusätzliche Parameter der Erregungsleitung und -ausbreitung erfasst.
Die Untersuchung erfolgt in Ruhe und ist für die Patientinnen und Patienten schmerzfrei und risikoarm. Sie kann Hinweise liefern auf funktionelle Auffälligkeiten, die im klassischen Ruhe-EKG nicht oder nur unzureichend erkennbar sind.
Die Cardisiographie eignet sich insbesondere:
- zur vertieften kardiovaskulären Risikoabschätzung
- als ergänzende Diagnostik bei unklaren Beschwerden
- im Rahmen präventiver Untersuchungen
- eventuell bei Sport-Untersuchungen (s.o.)
- zur Einschätzung eines Mitbetroffenseins des Herzens bei oder nach Viruserkrankungen sowie bei ME/CFS
Die Befunde werden stets im klinischen Kontext interpretiert und ersetzen keine weiterführende kardiologische Diagnostik, sondern dienen der differenzierten Einschätzung und Entscheidungsfindung.
ABI-Messung
Die ABI-Messung (Ankle-Brachial-Index) ist ein etabliertes, einfaches und nicht-invasives Verfahren zur Früherkennung von Durchblutungsstörungen der Beine. Dabei wird der systolische Blutdruck an Armen und Knöcheln gemessen und ins Verhältnis gesetzt.
Ein auffälliger ABI-Wert kann auf eine periphere arterielle Verschlusskrankheit (pAVK) hinweisen – häufig auch dann, wenn noch keine typischen Beschwerden bestehen. Liegt hier eine Erkrankung vor, besteht oft auch ein erheblich erhöhtes Risiko von Herzerkrankungen. Daraus können sich weitere Vorsorge-Notwendigkeiten ergeben.
Die ABI-Messung ist sinnvoll:
- bei Risikopatientinnen und -patienten (z. B. Rauchen, Diabetes, Hypertonie)
- im Rahmen der kardiovaskulären Prävention
- zur Verlaufsbeurteilung bekannter Gefäßerkrankungen
Die Untersuchung ist kurz, schmerzfrei und ohne Belastung und liefert wichtige Zusatzinformationen zur individuellen Gefäß- und Risikobewertung.
Polygrafie (Schlafbezogene Atmungs-Diagnostik)
Die Polygrafie ist ein ambulantes, nicht-invasives Verfahren zur Abklärung schlafbezogener Atmungsstörungen, insbesondere bei Verdacht auf ein obstruktives Schlafapnoe-Syndrom (OSAS). Sie wird zu Hause während des normalen Nachtschlafs durchgeführt.
Dabei werden über ein tragbares Messgerät mehrere Parameter gleichzeitig aufgezeichnet, unter anderem:
- Atemfluss und Atembewegungen von Brustkorb und Bauch
- Sauerstoffsättigung
- Herzfrequenz
- Schnarchgeräusche
- Körperlage
Die Untersuchung ermöglicht eine erste objektive Einschätzung, ob relevante Atemaussetzer oder nächtliche Sauerstoffabfälle vorliegen. Sie eignet sich insbesondere bei typischen Beschwerden wie Tagesmüdigkeit, nicht erholsamem Schlaf, Schnarchen oder nächtlichen Atempausen.
Die Polygrafie ersetzt nicht in allen Fällen eine Polysomnographie im Schlaflabor, stellt jedoch ein anerkanntes und praktikables Screening- und Diagnostikverfahren dar. Die Befunde werden im klinischen Zusammenhang bewertet und dienen als Grundlage für weitere therapeutische oder diagnostische Schritte.
